2023/02/20
⇒⇒⇒現在
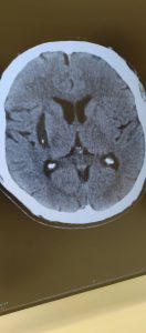
【いずみの症例追記】
令和4年11月13日(日)に脳出血で倒れられた男性
翌日から個室に移り〇△□することができた方のCTスキャン結果です
左が搬送された時で、右が今日の結果です
この方は言語障害、左半身麻痺でした
リハビリ病院の予約がキャンセルになるほどで、11月25日に退院となった……あの症例です
良い状態なので納得されなかまら健康を取り戻す為のケアしています
まだこれからですが、嬉しいお知らせですのでご報告いたします
いつもありがとうございます???
令和5年2月20日?
いずみ?.*